Основные лекарственные препараты

При заболеваниях органов дыхания основным симптомов является кашель, который может быть мокрым (то есть с выделяемой мокротой) либо сухим, без мокроты. Также другими важными симптомами выступают отдышка, удушье, боль в груди, повышение температуры. Именно это сильно влияет на выбор лекарственных препаратов для лечения. Другим немаловажным фактором выступает вид заболевания, его причины, сложность протекания. Читать далее
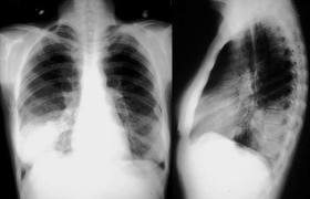
Болезни плевры

Для диагностики плевритов достаточно проведение некоторых бактериальных исследований, ультразвукового, цитологического исследования, плевральной пункции, торакоскопии (проводится биопсия плевры).
При этом в крови больного при проведении подобных исследований обнаруживаются нейтрофильный лейкоцитоз, повышение СОЭ, фибрина, сиаловых кислот, серомукоидов.
Лечения подобных заболеваний направлено на полное устранение этиологических факторов, облегчение симптоматики. При этом типы лекарственных средств и терапия зависят от типа заболевания. При плевритах, которые вызваны пневмонией, назначают антибиотикотерапию, глюкокортикостероиды, противовоспалительные средства. При туберкулезных плевритах необходимо назначение стрептомицина, рифампицина, изониамизида. Читать далее
Нагноительные заболевания, абсцесс
Диагностика нагноительных заболеваний, абсцесса легких включает в себя общие анализы мочи, кала, крови. Обязательна биохимия крови, которая покажет увеличение количества сиаловых кислот, серомукоина, фибрина, гаптоглобинов и прочее. Анализы мочи покажут количество альбуминурия, микрогематурия, цилиндрурия. При этом такие данные дадут понятие о степени тяжести протекаемых процессов.
Также проводится анализ мокроты (присутствие атипичных клеток, эластических волокон и прочее), бактериоскопия мокроты, бакпосевы, рентгенография. В сложных случаях проводят ЭКГ, бронхоскопию, МРТ легких, пиклоуметрию, спирографию. Читать далее
Тромбоэмболия, инфаркты легкого

Для того чтобы правильно диагностировать инфаркт или тромбоэмболию (ТЭЛА) необходимо точно установить наличие тромбов, их расположение, правильно оценить поражения, нарушения термодинамики, выявить все источники. Для этого необходимо помещать пациентов в сосудистое отделение, проводить такие исследования: анализы мочи, крови, газового состояния, коагулограмму, ЭКГ, эхокардиографию, ангиопульмонологию, флебографию.
Для лечения пациента необходимо поместить сразу в реанимационное отделение, все мероприятия проводятся в полном объеме. Назначается инфузионная терапия, при необходимости проводится хирургическое вмешательство.
Часто при рецидивирующем течении назначается постановка специальных фильтров в полую нижнюю вену, в ветви легочных артерий. Читать далее
Опухоли
Диагностика опухолевых образований в легких включает в себя общие анализы выделений (моча, кровь), биохимию крови, рентгенографию, КТ, линейную томографию, цитологию, бронхоскопию, оценку физических данных, пресканальную биопсию, плевральную пункцию, торакотомию.
После определения стадии развития опухолевой болезни назначается соответствующее лечение. Такое лечение включает хирургическое вмешательство, химиотерапию, лучевую терапию.
Также иногда показано паллиативное лечение, которое направлено на облегчение состояния для неизлечимо больных. Сюда относятся кислородотерапия, обезболивающие препараты, детоксикация, гастростомы, нефростомы и прочие паллиативные операции. Часто проводится противовоспалительное лечение, при наличии кровотечений – гемостатическая терапия. Читать далее
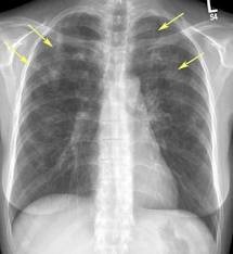
Пневмония
Диагностика пневмонии позволяет решить несколько задач: выявить тяжесть, этиологию, взаимодействие с другими процессами. Само заболевание характеризуется интоксикацией, развитием лихорадочных процессов, кашлем. При этом при рентгенографии выявляются такие изменения: интерстициальные (определения легочного рисунка), паренхиматозные (диффузны, очаговые затемнения).
Также проводятся бакпосевы, анализы крови. Необходимо сразу выявить возбудителя, что даст правильную картину течения, поможет назначить лечение.
При лечении требуется госпитализация, соблюдение постельного режима, высококалорийное питание, очень обильное питье. Основное лечение – антибактериальная терапия, антибиотики подбираются только лечащим врачом, возможно до выявления возбудителя. Обычно используют пенициллины, фторхинолоны, цефалоспорины, аминогликозиды, карбапенемы. Также применяют иммуностимуляторы, отхаркивающее, жаропонижающие, антигистаминные препараты. Читать далее
Астма
Для диагностики бронхиальной астмы применяется несколько методов, которые помогают установить тяжесть формы, определить дальнейшее лечение. Среди таких методов спирометрия, которая оценивает степень обструкции, пикфлоуметрия, определяющая состояние больного.
Также применяют тесты на аллергены, ЭКГ, оценку газового кровяного состава, рентгенографию, бронхоскопию. Необходимы лабораторные исследования (общий анализ крови, мокроты, биохимия крови, определение иммунного статуса). Читать далее
Бронхит

Диагностика бронхита включает в себя результаты исследований, изучение клинической картины, лабораторные анализы.
В состав таких процедур входят:
— общие анализы крови, мочи;
— иммунологическое, биохимическое исследование крови;
— рентгенография;
— пикфлоуметрия, спирометрия;
— бронхография, бронхоскопия;
— эхокардиографии, ЭКГ;
— микробиологические анализы мокроты. Читать далее
Острое воспаление верхних дыхательных путей
Острые воспаления дыхательных верхних путей включают в себя: ринит представляет собой воспаления слизистых оболочек носа, фарингит, то есть воспаления дужек, слизистой глотки, тонзиллит (катаральная ангина), то есть воспаления миндалин.
Начало таких заболеваний легко диагностируются, оно довольно острое. В течение трех-четырех дней наблюдается температура тридцать девять-сорок градусов, при этом местные признаки преобладают (для гриппа). Парагрипп выражается повышением температуры до тридцати восьми градусов в течение двух дней. Общие симптомы выражаются довольно умеренно. Начало аденовирусной инфекции острое, в течение пяти-четырнадцати дней наблюдается температура 38-39 градусов. Поражаются верхние дыхательные пути, пищеварительная система, глаза. Читать далее
Эозинофильные инфильтраты

Эозинофильные инфильтраты являются состоянием аллергической природы, их причина появления не всегда может быть распознана. Такое заболевание может долго себя не проявлять либо сильно напоминать очаговую пневмонию. Иногда наблюдаются кашель, одышка, боли в груди, достаточно высокая температура.
Очаги легко определяются на рентгеновских снимках, они могут быть множественными либо одиночными, могут менять расположение. Читать далее